Sharing of yet another documented miracle by Le. Here is her letter to the dentist who witnessed the miracle and was willing to document it. His documented testimony follows.
Dr. Reid, thank you so much for taking the time to write up this acknowledgment of God’s power in demonstration of His might and tender love toward man.
Not seeing a Dentist after so many years i knew that it was time, just kept putting it off. I did NOT want to go – but the thought kept returning! when that happens so many times its the Holy Spirit of God nudging me so i have to obey. I do not carry dental insurance so was also interested in seeing how costs had inflated.
So, then began the effort to search the net for a good dentist. One that really cared – if there was such a creature out there, for past dentists visits did not reveal such (in my mind anyway).
After getting on the net i found that there were dentists that worked the holistic route; i thought, hmm… so i began to read more about it finding the IAOMT and the HDA, Et al. From there made a list, began making calls, asking questions, reading new patient paperwork, customer reviews, etc.
After days of doing this The Smile Doc business was the only one that felt right for me. And as God would have it YOU were the closest to my dwelling location too! (an hour and 40 minute drive) 🙂 So i called, set up initial/interview appointment for May 13, 2024 which also served your office to collect xray views and set an overall plan for the work ahead.
After this initial appointment i was so settled that this was the right Dentist for me that i made a 2nd appointment to begin the overall plan. Afterwards, you met me in the consultation/meeting room to go over the pictures presented of my mouth and the work that had just been completed and we talked further. in this discussion i gave testimony of God’s grace in another of his miraculous workings in the lives of men and it brought tears to your eyes and at that time i witnessed the work of Holy Ghost in your life realizing how God works to bring His people together to serve one another.
Thank you, AGAIN, for being a good and caring Dr. of Dentistry who provides not a mediocre staff but a well trained and outstanding one and for that am grateful for i do realize that the work that dentists perform is closely related to overall health and wellness.
in great respect, le.
ps. as you will see in the To: line Frank Dartee. He has YAH ministries and is close friend and it is on this site that your write-up of God’s goodness will be revealed for all the world to read. https://yahministries.org/
You take good Care !
the grace of our Lord Jesus Christ be with your spirit.
Le Laroi©
Here is the dentist’s documented testimony:
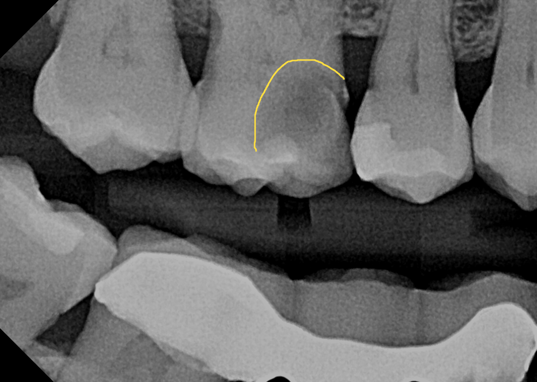
Patient Le Laroi presented to my dental office on 5/13/24 with a broken tooth on the top right. Patient was not in any pain, but there was a large hole in the tooth that would need to be examined. Because the hole in the tooth was so big and so deep, I assumed the tooth was necrotic, or dead. First we took the necessary X-rays: A panoramic radiograph (which gives us a broad view of all the teeth), and a bitewing radiograph (which is an up close, detailed view of the tooth). Upon examination, it was determined that the broken tooth is a first molar, also known as tooth #3. The X-rays revealed a large cavitated carious lesion, extending into the pulp chamber of the tooth where the nerve resides. This appears on the X-ray as a large black shadow on a tooth. Usually, once decay has reached the pulp chamber, either the nerve becomes symptomatic and painful, or it dies all together. To confirm my assumptions, I performed what we call a ‘vitality’ or ‘cold’ test to determine if the tooth is alive or not. I was not expecting Le to feel the cold temperature that was applied to the tooth, but she did! The tooth was not necrotic as it appeared, it was alive and well! When Le asked me if I thought it was a miracle, I said, “sure it is.” Miracles can come in all shapes and sizes, and in this case, there is no clinical explanation as to why this tooth is alive and well without any symptoms or sensitivity.All Glory and Praise to God!
Dr. Armando Reid
CEO
#thesmiledoc
happy teeth. healthy smiles.
O: 512.240.7200 | C: 512.677.9172
info@thesmiledocatx.com
www.thesmiledocatx.com
1633 N HWY 183 STE 110, LEANDER, TX 78641
X-ray picture of the tooth with the cavity marked:

Praise the Lord!
Franciscus M. Dartee
Grow in Faith | Walk in Power
All rights reserved. © 2024
» If you enjoyed this, don’t forget to like, comment and share! If this post has ministered to you and you would like to receive regular updates, please be sure to click on the follow button at the bottom of this page.
